Hos oss er det menneskelig kontakt som står i sentrum – ikke maskiner. Vi lytter, forstår og møter hver pasient med empati og ekte omsorg. Teknologi er et hjelpemiddel, men det er vår menneskelige innsikt og erfaring som skaper trygghet og kvalitet i behandlingen. Du er ikke bare en pasient – du er et menneske, og det behandler vi deg som.
Det er verdt turen!
Selv om materialene som brukes ved vår ungarske tannklinikk er av den samme Premium kvaliteten og merkene som i Vest-Europa, er kvaliteten på selve behandlingen like høy (om ikke høyere). Lavere lønn og lavere driftskostnader ved våre tannklinikker og laboratorier gjør at prisene på behandling er vesentlig rimeligere i Ungarn.
Takket være det store antallet pasienter og et godt samarbeid med våre leverandører og partnere, er vi i stand til å holde prisene nede og tilby høy kvalitet til lave priser.
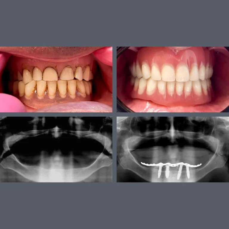
* Vær oppmerksom på villedende kommunikasjon: All-on-4®-teknologi er en patentert utvikling av det amerikansk-sveitsiske selskapet NOBEL BIOCARE. All-on-4® kan bare utføres med «Nobel»-implantater av førsteklasses kvalitet, og fordelene med denne utmerkede metoden er ikke garantert med noen annen type implantatsystem.
For de som reiser til Budapest for sin tannbehandling, tilbyr vi flere tilleggstjenester, hvor kostnadene er inkludert i våre behandlingspriser. Dette for å sikre at våre utenlandske pasienter får økt fleksibilitet til sine klinikkavtaler, raskt tannlegearbeid og assistanse på flere språk.










































